Op 3 september 2013 komt de 10 jaar oude ongecastreerde dwergschnauzer reu Jim op de praktijk. Jim voelt zich niet zo lekker. Hij eet gras en braakt. Hij heeft wat breiige ontlasting en heeft buikpijn. Jim wordt goed nagekeken door de dierenarts en waar we aanvankelijk dachten met een simpele maagdarminfectie te maken te hebben rolde er na een aantal onderzoeken een hele andere, veel zeldzamere, diagnose uit....
Jim blijkt niet alleen te persen op zijn ontlasting, maar ook het plassen gaat niet vanzelf. Met veel moeite weet hij wat druppeltjes te produceren. Jim heeft duidelijk buikpijn wanneer hij in de buik gevoeld wordt. Omdat Jim een niet-gecastreerde, oudere reu is zou hij wel eens last kunnen hebben van een goedaardige vergroting van zijn prostaat, de zogenaamde 'oude mannen kwaal'. De vergrote prostaat is normaliter goed te voelen bij rectaal onderzoek, maar bij Jim wordt juist helemaal geen prostaat gevoeld. Dat is raar.
Uit het bloedonderzoek blijkt dat Jim geen problemen heeft op lever- en nierniveau. Hij heeft ook geen suikerziekte. Uit het bloed blijkt wel dat hij een stevig ontstekingsbloedbeeld heeft. We hebben vervolgens röntgenfoto's gemaakt van zijn buik. We moeten toch achterhalen waarom hij zoveel buikpijn heeft én we willen weten waar zijn prostaat is.
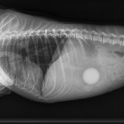
De röntgenfoto's zorgen uiteindelijk voor de diagnose: Jim heeft een uitgebreide prostaatontsteking. Een zeldzame aandoening die gepaard gaat met veel pijn en moeilijk poepen en plassen. Op onderstaande foto's is niet alleen de normale anatomie van het geslachtsapparaat van de reu te zien maar ook de afwijkende foto's van Jim.
De prostaat ligt als een bolletje bij de blaasuitgang en de plasbuis, die de urine vanuit de blaas naar buiten transporteert, loopt door de prostaat heen, als appel waar het klokhuis uit is. Doordat de prostaat groter en zwaarder wordt door de ontsteking is hij niet meer rectaal te voelen; de prostaat is in de buik terecht gekomen (zie onderstaande röntgenfoto's):


Duidelijk twee 'bollen' te zien waar er maar één (blaas) zichtbaar had mogen zijn:
rode cirkel is blaas
zwarte cirkel is prostaat

We hebben vervolgens de blaas met lucht gevuld en de röntgenfoto opnieuw gemaakt
Lucht wordt zwart op een röntgenfoto en op deze foto is nog duidelijker
de vergrote, onregelmatige prostaat te zien:
A: blaas
B: prostaat
Jim heeft voor drie weken een stevige antibioticakuur en pijnstillers gekregen en hij is ook chemisch gecastreerd. Na een dag was Jim alweer behoorlijk opgeknapt. Hij eet goed, braakt niet meer en maakt een vrolijke indruk. Jim heeft ook weer normale ontlasting geproduceerd. Gelukkig!




