Op 23 november 2017 komt de 8 jaar oude Jack Russell Terrier-teef Lady op het spreekuur. Ze voelt zich niet goed, ze is misselijk en ze braakt al anderhalve week. De eigenaar weet ook te vertellen dat Lady met stuiterballen heeft gespeeld.....
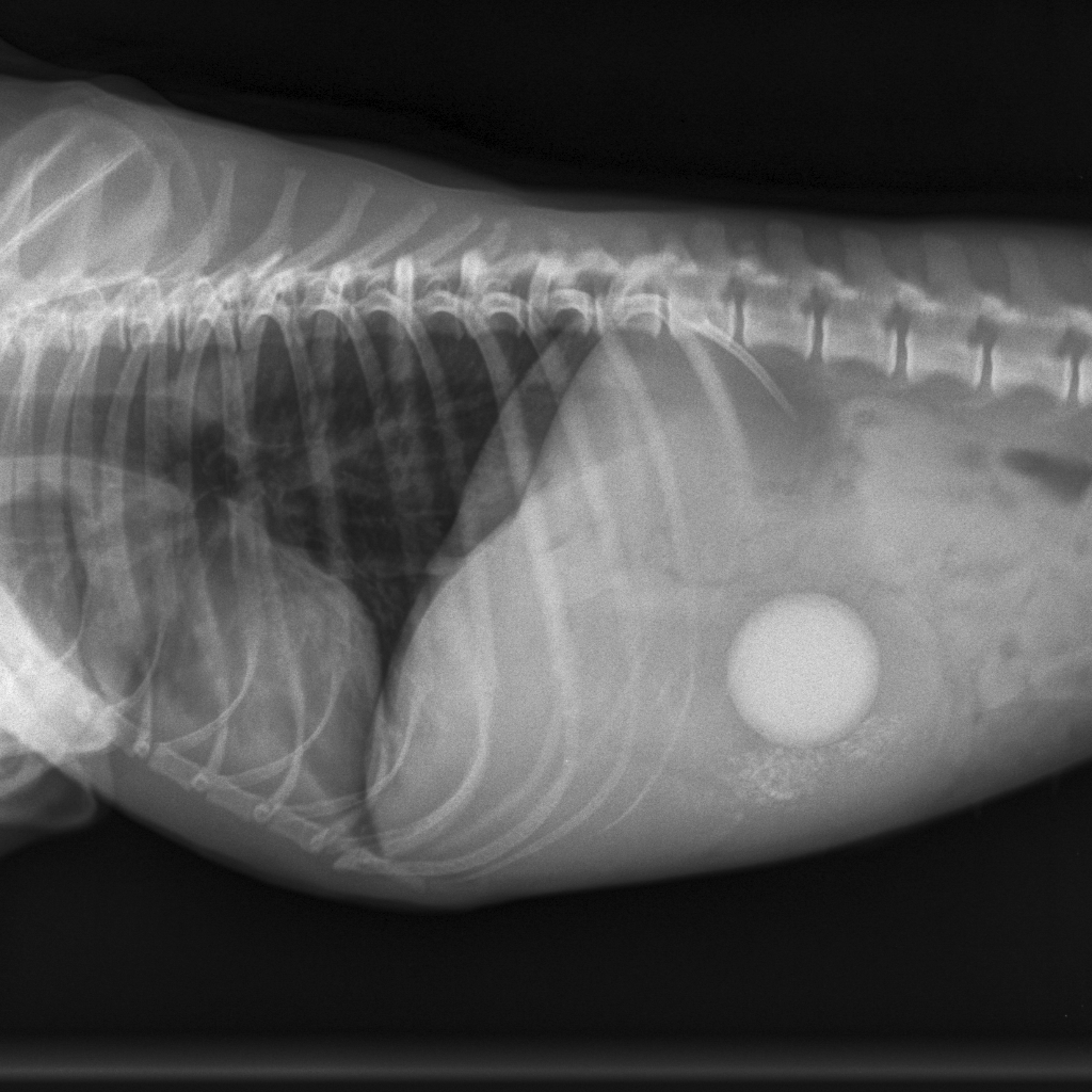
Bij het onderzoek op de praktijk blijkt Lady een erg pijnlijke buik te hebben en een hoge hartslag. Ze heeft wat verhoging en voelt zich alles behalve goed. Op de röntgenfoto is goed te zien wat lady in de weg zit.....de verloren stuiterbal is waarschijnlijk gevonden. We hebben middels een operatie de stuiterbal uit de maag verwijderd en Lady was vrijwel driect weer als nieuw! We zijn nu een dikke week verder en Lady doet alsof er nooit wat gebeurd is. Hopenlijk levert het ook een leermomentje op voor in de toekomst. Hieronder ziet u enkele foto's van Lady.
De röntgenfoto van de buik van Lady.
De stuiterbal is goed te zien.
Na de operatie:
rechts de voorbeeld-stuiterbal die de eigenaar had meegenomen.
links de bal die uit de maag kwam.
Lady na de geslaagde ingreep.




