Op 11 december 2015 kwam de 5 jaar oude Yvi op het spreekuur. Yvi is een kruising Yorkshire terriër x dwergschnauzer en zij is de maand geleden behandeld voor een blaasontsteking. De klachten zijn echter niet verdwenen.
Ze blijft overal plassen, vaak kleine beetjes en er is bloed zichtbaar in de urine. 'Ze gaat ook vaak zitten persen zonder dat er wat komt', zei de eigenaar verontrust. Wanneer een blaasontsteking met de reguliere therapie niet of onvoldoende opknapt maken we over het algemeen een röntgenfoto van de blaas. In het urine-onderzoek van de maand ervoor was geen blaasgruis aangetroffen, maar blaasstenen worden met dat onderzoek niet ontdekt. Met een röntgenfoto wel. Bij Yvi was er een flinke blaassteen zichtbaar die u op onderstaande foto's kunt zien. We hebben de steen operatief verwijderd en het ging met Yvi al na een dag weer helemaal als vanouds! We zijn nu een week verder en Yvi plast als nooit te voren. gelukkig.
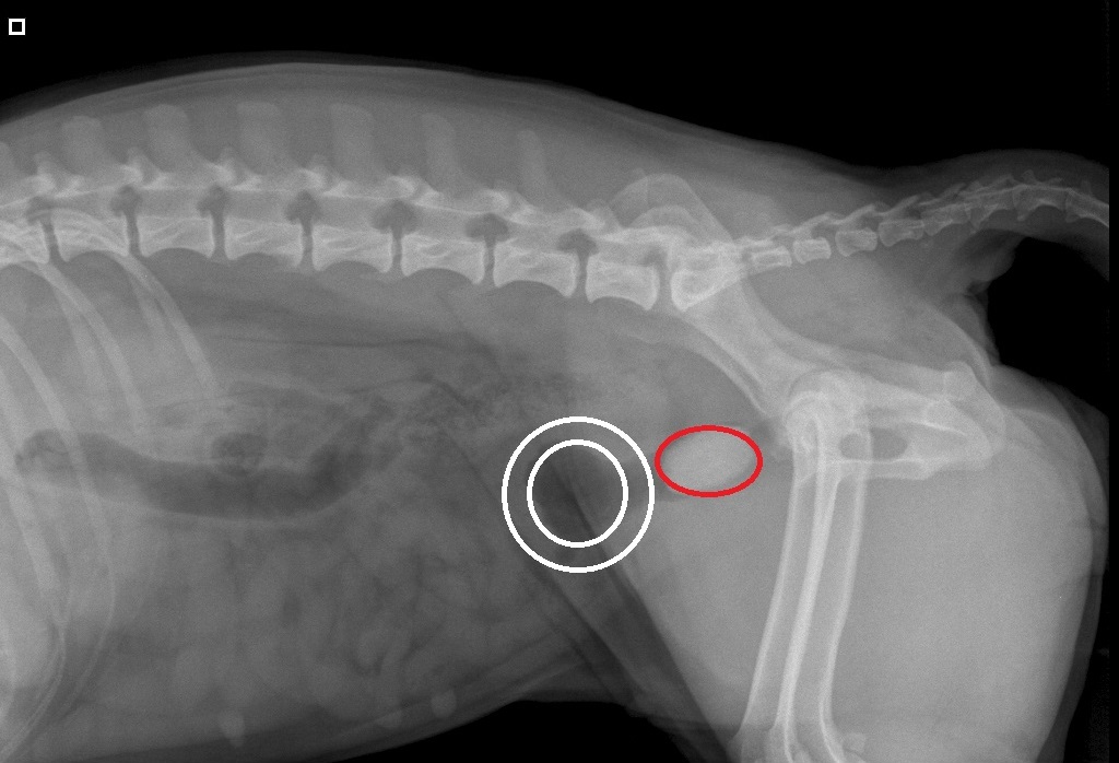
Röntgenfoto van Yvi:
A: blaas
B: de steen
De blaas heeft een erg dikke wand (witte cirkels)
en de steen sluit de uitgang van de blaas volledig af (rode cirkel)
De blaas wordt geopend en de verdikte blaaswand is goed te zien
De steen komt in gedeelten uit de blaas

Yvi ligt na de ingreep lekker bij te komen





